Cabinet dentaire
Dr Arnould-Puigserver Béatrice Chirurgien-dentiste
HALL A PARC D'ACTIVITE RAMBOT 50 AVENUE DR FERNAND AURIENTIS, 13100 AIX-EN-PROVENCE
Cabinet dentaire
Dr Arnould-Puigserver Béatrice Chirurgien-dentiste

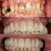
Esthetique

avant soins
après soins
Esthetique
Esthetique
Esthetique
Esthetique
L’éclaircissement dentaire

L’éclaircissement dentaire

Les facettes en céramique

Les facettes en céramique

La ligne du sourire

La ligne du sourire

La dentisterie adhésive

La dentisterie adhésive

NOUS CONTACTER

DR Puiserver

Création par Webdentiste

Connexion